CASE
CASE
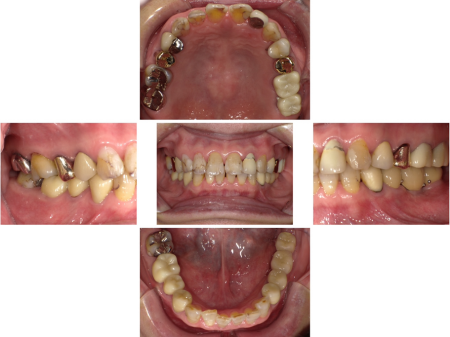
「噛み合わせが悪く、口の中を噛んでしまって繰り返し口内炎ができる」とご相談いただきました。当院の噛み合わせ治療を受けたご友人からの紹介で、2015年より遠方から来院されている患者様です。
拝見したところ、初診時から適合が悪い被せ物や詰め物がお口の中に多数あり、噛み合わせを整えるため当院にて、被せ物治療や人工歯根を利用した「インプラント治療」を実施しています。
噛み合わせ治療を進めていく中で、噛んだ時に下の前歯が上の前歯に強く当たり 、上の前歯6本(右犬歯/3番〜左犬歯)が外側に傾いていることを確認しました。
さらに上の前歯はプラスチック樹脂の「コンポジットレジン」でところどころ修復した履歴があり、左上前歯(側切歯/2番)には被せ物が装着されています。これらは、下の前歯が上の前歯を突き上げることによってダメージを受けたことが原因で治療に至ったと推測しました。
このままだと噛むたびに上下の前歯がダメージを受け、再び治療が必要になる可能性があります。また、歯が傾いていることで口の中の粘膜を噛みやすく、日頃から口内炎が度々できることにも負担を感じていらしたため、上前歯の傾きなどを改善する必要があると診断しました。
前歯の噛み合わせと歯の傾きを改善するため、上の前歯6本に被せ物を装着する治療を提案し、同意いただきました。
上の前歯は人目につきやすく見た目が気になる部分でもあるため、患者様と相談の上、被せ物の材質は強度と自然な美しさが特徴の「フルジルコニア」に決定しました。
フルジルコニアは色味の再現性が高く、周囲の歯との調和が取りやすいため、自然な仕上がりが特徴の被せ物です。
まず、左上側切歯の古い被せ物を除去したあと、上の前歯6本を一回り小さく削って被せ物の土台を構築し、上の前歯は全て神経が残っていたため、このまま温存できるよう慎重に処置を進めました。
その後、歯の形と噛み合わせを検証するための仮歯「プロビジョナルクラウン」を作製し、調整を行いました。当院では、プロビジョナルクラウンを2回作製することにより、理想的な見た目と噛み合わせを獲得できるよう努めています。
プロビジョナルクラウンで問題なく噛め、歯の形も自然なことを確認したあと、プロビジョナルクラウンを参考にして最終的なフルジルコニアクラウンを作製しました。後日、完成したフルジルコニアクラウンを装着し、仕上がりを確認して治療を終了しました。
・装着に際し、天然歯を削る必要があります
・硬い素材の場合、他の天然歯を傷つけることがあります
・噛み合わせや歯ぎしりが強い場合、ジルコニアが割れる可能性があります
・一部の治療を除き、自費診療(保険適用外治療)です
年齢‧性別
60代女性
診療種別
自由診療
治療期間‧回数の⽬安
1年
治療費総額の⽬安
792,000円
| 出勤日 | 火 | 水 | 木 | 金 | 土 |
|---|---|---|---|---|---|
| 前田 | ● | ● | ● | ● | ● |
| 藤川 | / | / | / | ● | ● |
| 石川 | ● | ● | ● | ● | / |
| 根治専門医 今井 |
● | / | / | / | / |
| 根治専門医 新本 |
/ | / | ● | / | / |
| 根治専門医 三枝 |
/ | / | / | / | ● |
| 根治専門医 天野 |
/ | ● | / | ● | / |
| 矯正専門医 手嶋(月1回) |
/ | / | / | ● | / |
| インプラント専門医 簗瀬(月1回) |
/ | / | / | / | ● |
| 歯科衛生士 | ● | ● | ● | ● | ● |
| 診療時間 | 月 | 火 | 水 | 木 | 金 | 土 | 日 | 祝 |
|---|---|---|---|---|---|---|---|---|
| 9:30 - 12:30 | / | 〇 | 〇 | 〇 | 〇 | 〇 | / | / |
| 14:00 - 17:00 | / | 〇 | 〇 | 〇 | 〇 | 〇 | / | / |
【休診日】月曜日・日曜日・祝日
※お電話は診療時間内にお願いいたします。
ドクター出勤日
| 出勤日 | 火 | 水 | 木 | 金 | 土 |
|---|---|---|---|---|---|
| 前田 | ● | ● | ● | ● | ● |
| 藤川 | / | / | / | ● | ● |
| 石川 | ● | ● | ● | ● | / |
| 根治専門医 今井 |
● | / | / | / | / |
| 根治専門医 新本 |
/ | / | ● | / | / |
| 根治専門医 三枝 |
/ | / | / | / | ● |
| 根治専門医 天野 |
/ | ● | / | ● | / |
| 矯正専門医 手嶋(月1回) |
/ | / | / | ● | / |
| インプラント専門医 簗瀬(月1回) |
/ | / | / | / | ● |
| 歯科衛生士 | ● | ● | ● | ● | ● |
閉じる